頭痛・肩凝り・腰痛・手足のしびれはCBP®治療で根本治療
配信
ミッシマー 寿美子
1309 S. Mary Ave., Suite 230, Sunnyvale, CA 94087
https://www.drsumiko.com408-738-8610
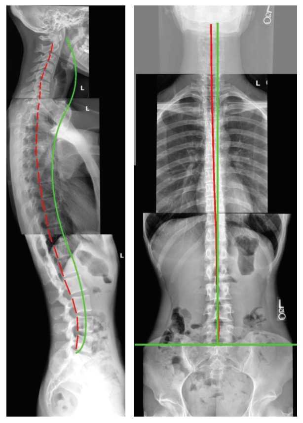
レントゲン診断で痛みの原因を見極め、姿勢改善、背骨矯正によって根本治 療が可能。ストレートネックや側弯症に有効なCBP®治療を行っている。
詳細を見るこの記事に関連する記事
-
2025.04.16 頭痛・肩凝り・腰痛・手足のしびれはCBP®治療で根本治療
-
2024.07.31 いざという時に頼りになる 日本人獣医の動物病院
-
2025.03.19 アスレチックトレーナーの知識と カイロプラクティックの融合
-
2025.08.13 教えて!あなたの健康メソッド
-
2025.10.01 カーリーヘアはもっと輝く スペシャリストに安心して相談を
-
2026.03.18 教えて!あなたの健康メソッド
-
2024.05.15 こんなサロンを探していた! 日本的なヘアとネイルの総合サロン
-
2025.12.03 顎関節症(TMJ)その原因と歯科での対処 - 森田先生(歯科医)
一覧ページにもどる


